試験のポイント
-
MALDI微生物同定試験や16S rDNA塩基配列解析では識別が困難なE. coliまたはShigella属への帰属が示唆された検体について、Multiplex PCRによりさらに詳細に帰属分類群を推定します。
推定可能な分類群:Escherichia属の中でバイオセーフティレベル2以上となるE. coli、E. albertiiおよびShigella属 -
Multiplex PCRによりベロ毒素遺伝子(VT1, VT2)や腸粘膜接着因子インチミン遺伝子eaeAの検出、腸管出血性大腸菌O抗原型(O157/O26/O111)の識別が可能です。
サービス概要
こんな方におすすめです
-
食品製造や医薬品製造で衛生管理に関わるご担当者様
- 対象
-
細菌
(事前にMALDI微生物同定試験や16S rDNA塩基配列解析を実施し、E. coliかShigella属への帰属が示唆されている必要があります) - 試験原理
- Multiplex PCR 法により特定遺伝子を検出します。
- 納期目安
- 7営業日
- 注意事項
-
・本試験の結果、検体がShigella属やベロ毒素遺伝子 (VT1,VT2)保有菌株、O抗原型(O26, O111, O157)を保有するE. coliと推定された場合、検体の返却、更なる追加試験はできません (当社で速やかに検体を滅菌処分します)。
・お客様による試験結果によりE. coliかShigella属への帰属が示唆された検体については、80℃で30分以上熱処理した検体、もしくは、DNA抽出物をご送付いただく必要があります。ご対応が難しい場合、ご相談ください。
〈概要〉
E. coliとShigella属はMALDI微生物同定試験や16S rDNA塩基配列解析などでは識別が困難です。本試験はMultiplex PCRにより、E. coli、E. albertiiおよびShigella属を識別し、簡易的な推定を行います。
また、Multiplex PCRによりベロ毒素遺伝子(VT1, VT2)や腸粘膜接着因子インチミン遺伝子eaeAの検出、腸管出血性大腸菌O抗原型(O157/O26/O111)の識別が可能です。
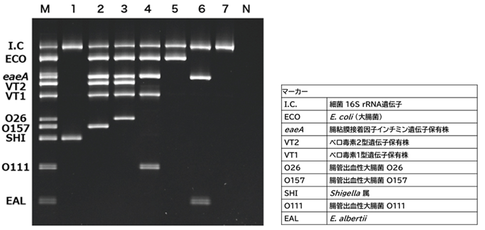
解析結果の例

| レーン番号 | 判定結果例 |
|---|---|
| レーン番号M: | 陽性対象(マーカー) |
| レーン番号1: | Shigella属 |
| レーン番号2: | E. coli(0157),VT1+,VT2+,eaeA+ |
| レーン番号3: | E. coli(026),VT1+,VT2+,eaeA+ |
| レーン番号4: | E. coli(0111),VT1+,eaeA+ |
| レーン番号5: | E. coli |
| レーン番号6: | E. albertii,eaeA+ |
| レーン番号7: | その他 |
| レーン番号N: | 陰性対象(滅菌水) |
解析プロセス
- DNA抽出
- Multiplex PCR
- 簡易推定
報告書サンプル
価格・納期
| 試験項目 | 単位 | 単価(税抜) | 納期 |
|---|---|---|---|
| E. coli/Shigella Multiplex PCR試験 | 株 | 46,000円 | 7営業日 |